La spalla è l’articolazione più mobile del nostro corpo e ci consente di muovere il braccio permettendo così l’utilizzo della mano nello spazio intorno a noi. L’articolazione gleno-omerale della spalla è formata dalla testa dell’omero (rappresentabile come una sfera) e la superficie glenoidea della scapola (la concavità su cui l’omero ruota). Attorno alle componenti ossee dell’articolazione troviamo una serie di strutture legamentose che hanno il compito di aumentare la congruenza articolare evitando che la testa dell’omero possa “uscire” dalla sua normale posizione.
Si parla di lussazione (o "uscita") di spalla quando la testa dell’omero perde completamente il rapporto articolare con la superficie glenoidea della scapola ovvero “va fuori posto”.
Quando la lussazione non è completa si parla di sublussazione. Se avvengono ripetuti episodi di lussazione, anche a distanza di molto tempo, si parla di lussazione recidivante. Le lussazioni di spalla possono avvenire in direzione anteriore (più frequentemente), posteriore o inferiore. Statisticamente questa patologia ha un’incidenza maggiore nella seconda e terza decade di vita.

La spalla si può lussare a seguito di un evento traumatico o nel compiere movimenti inusuali. Alcuni individui sono predisposti ad una maggior probabilità di lussazione di spalla a causa di una condizione genetica che causa iperlassità delle strutture legamentose.
Nelle lussazioni post-traumatiche spesso si creano delle lesioni sia ai tessuti molli (tendini o legamenti) sia a strutture ossee e cartilaginee in base alla gravità del trauma. Queste strutture sono importanti per la stabilità della spalla e se lesionate possono perdere la propria funzione creando così un quadro di instabilità.
Il paziente avverte questa instabilità sotto forma di dolore e con la sensazione che la spalla possa “uscire” di nuovo anche con movimenti banali.
Nei soggetti iperlassi, ovvero con tessuti legamentosi dotati di maggior elasticità, la lussazione di spalla può avvenire anche a causa di eventi traumatici più modesti per l’incapacità di mantenere la testa dell’omero ben centrato sulla superficie glenoidea.
Durante una lussazione di spalla la testa omerale è forzata ad uscire e frequentemente va a danneggiare il cercine o labbro glenoideo cioè il bordo della superficie glenoidea che funge da struttura di contenimento della testa (questa viene chiamata lesione di Bankart). Insieme al cercine si possono lesionare anche i legamenti gleno-omerali e la capsula articolare. Se il trauma è di notevole entità la testa omerale può entrare in contatto violento con il margine osseo anteriore della glena e causando molto frequentemente una frattura della testa dell’omero (detta lesione di Hill Sachs). Anche il margine osseo anteriore della glena può lesionarsi e fratturarsi determinando una lesione denominata Bony Bankart.

La diagnosi è clinica ed al primo evento di lussazione di spalla e buona norma recarsi il prima possibile al Pronto Soccorso ed effettuare un esame radiografico prima e dopo la manovra di riduzione. Questo è importante perché spesso le lesioni si possono creare con manovre di riduzione improprie.
Una volta gestito il primo evento al persistere della sensazione di intabilità c’è la necessità di effetturare una visita ortopedico per la valutazione della gravità.
Un’attenta anamnesi ed un esame obiettivo completo della spalla confermano la diagnosi.
Si avverte la sensazione di apprensione e disagio alla spalla nello svolgere le normali attività quotidiane per la paura che la spalla possa uscire nuovamente.
In aiuto possono essere richiesti esami strumentali. la radiografia è utile in occasione di ciascun evento sia prima che dopo la riduzione. La TAC e la Risonanza magnetica (con o senza mezzo di contrasto) forniscono informazioni più precise delle strutture ossee o legamentose coinvolte e aiutano il chirurgo ortopedico a dare la giusta indicazione all’intervento chirurgico se necessario.
Il trattamento di prima scelta dopo il primo episodio di lussazione è quello conservativo: riduzione, tutore e, dopo un periodo di immobilizzazione di alcune settimane, si inizia una progressiva attività di mobilizzazione e rinforzo muscolare. Se l’instabilità persistesse e si ripresentassero nuovi episodi di lussazione è indicato pensare al trattamento chirurgico. Infatti, ad ogni ulteriore lussazione aumenta la probabilità che vengano irrimediabilmente danneggiate le superfici articolari o le strutture ossee o quelle legamentose. Ciò può portare, come generalmente accade, allo sviluppo di processi artrosici a carico dell'articolazione.
Il tipo di trattamento chirurgico va scelto in base all’età del paziente, il numero di lussazioni, dal dolore e dal grado di inabilità lavorativa o sportiva.
Esistono due tipi di intervento chirurgico per il trattamento dell’instabilità di spalla: il trattamento artroscopico e l’intervento a cielo aperto (intervento di Latarjet).
Se la lesione interessa quasi esclusivamente i tessuti molli come il cercine o i legamenti si opta in genere per un approccio in artroscopia: tramite piccole incisioni cutanee si inserisce nella spalla una telecamera ed alcuni strumenti per poter effettuare la riparazione delle strutture danneggiate.
Questa tecnica, chiamata Capsuloplastica artroscopica, si avvale dell’utilizzo di piccole ancorette che vengono fissate alla glena dalle quali escono dei fili ad alta resistenza che servono per la sutura del cercine e della capsula, in modo da ricreare la giusta contenzione della testa dell’omero all’interno dell’articolazione.

Se la lesione è ampia e interessa anche una buona parte della componente ossea della glena si pone l’indicazione per l’intervento a cielo aperto.
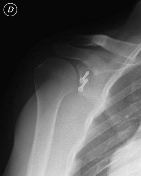
Questo intervento consiste in una incisione anteriore alla spalla di circa 6-7 cm per accedere all’articolazione. Si effettua in questo caso l’intervento di Latarjet cioè si trasferisce la coracoide (frammento della scapola) sul bordo anteriore della glena e si fissa con due viti in modo da aumentare lo spazio su cui la testa omerale può ruotare senza uscire nuovamente. Questa procedura è particolarmente indicata nei casi di grave deficit ossei e applicata con successo in molti sportivi che praticano sport da contatto come i rugbisti.


Un capitolo a parte nell’ambito delle instabilità croniche della spalla è quello delle microinstabilità. Differenti sono le teorie che vedono nei microtraumi ripetuti nel tempo (gesto del lancio tipico della pallavolo, del football americano e del baseball) le cause di un progressivo cedimento dei legamenti della spalla. Sempre nell’ambito delle microinstabilità, si inseriscono le cosiddette SLAP Lesion (Superior Labrum Anterior to Posterior) legate ad un evento traumatico che comporta un distacco da trazione del labbro glenoideo dal tessuto osseo in regione sopra equatoriale. In tal caso solo la riparazione della SLAP Lesion potrà ristabilire un quadro corretto di stabilità. Nella maggior parte dei casi ciò è possibile in artroscopia.
La dimissione dall’ospedale può avvenire il giorno stesso o il giorno dopo. Successivamente sarà necessario un periodo con tutore di protezione e un programma fisioterapico fino ad ottenere il recupero completo della motilità della spalla in assenza di dolore e apprensione.

